
Complete Jaw Reconstruction
Complete Jaw Reconstruction
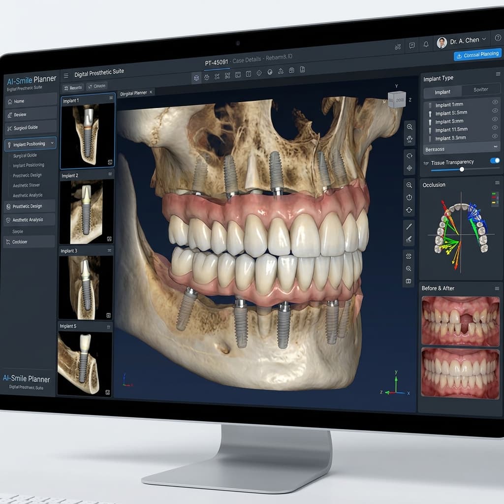
Full mouth rehabilitation at SI-DENT Dental Clinic is a comprehensive restorative procedure designed to rebuild and restore all of the teeth in both the upper and lower jaws. This advanced multidisciplinary approach integrates various treatments such as dental implants, crowns, bridges, and veneers to restore oral function, aesthetics, and overall health.
Led by Prof. Dr. S.I. Joephin Soundar, MDS, our clinic follows a precision-driven, digitally planned workflow, ensuring customized solutions for patients with severe tooth loss, decay, or wear. If you are searching for the best full mouth rehabilitation in Nagercoil, complete smile reconstruction in Tamil Nadu, or advanced restorative dentistry, SI-DENT Dental Clinic offers world-class care with expertise and innovation.
Scope
Total Rebuild
Specialty
Prosthodontics
Focus
Function & Beauty

Clinical Excellence
Advanced Digital Workflow